Ortodoncia Lingual
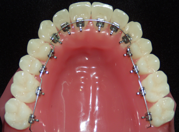
ESTETICA QUE FUNCIONA… Brackets Invisibles, perfectamente ocultos… Normalmente los brackets y los arcos se colocan en la cara externa de los dientes. Dado que estos brackets son visibles al hablar o sonreír, a menudo los pacientes se sienten inseguros o preocupados porque se les pega la comida. La ortodoncia moderna ofrece posibilidades también para los adultos y jóvenes que permiten la exitosa corrección de dientes mal alineados de forma discreta y virtualmente invisible. Al hablar o sonreír con estos brackets ocultos puede vivir su día a día sin preocupaciones de ningún tipo. Cuando se utilizan los brackets linguales, se hacen visibles los resultados en muy poco tiempo y de forma discreta dado que los brackets se cementan en la cara interna de los dientes, el aparato queda colocado en el interior de la boca. Utilizamos los brackets linguales 2D de tecnología Alemana, estos se diferencian de los brackets linguales convencionales por ser los más planos del mercado.

.jpg)
.jpg)
